太平洋新聞網
  PACIFIC DAILY NEWS 2026, 1. 29 PM 14:11 Thursday  臺灣‧台北
首頁新聞版面焦點新聞北台新聞綜合新聞府院新聞綜合外電
 
您現在位於 - 綜合外電

  2025, 12. 29  Edit this Page


AI機器人助力腫瘤治療
精準“導航”減少了電腦斷層掃描次數和患者的輻射暴露


【記者李清華/外電報導】近日,廣西醫科大學第一附屬醫院心胸外科聯合放射學科、導管手術麻醉室為兩名患者成功開展穿刺手術機器人輔助定位下的肺部腫瘤消融治療。

這一先進設備與技術的順利應用,對進一步提升精準醫療、智慧醫療具有重大意義,標志著該院肺結節微創診療實現全面跨越,正式邁入智慧醫療新階段。

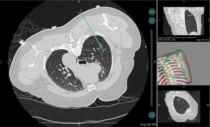
當天,該院心胸外科主任陽諾帶領消融團隊開展手術,他介紹,在術前,穿刺手術機器人系統基於患者電腦斷層掃描影像,能自動構建詳細的肺部3D立體模型,清晰呈現結節與周圍血管、氣管等重要組織的位置關係。

“它就像一位‘智能導航員’,精準規劃穿刺路徑、角度與深度,有效避開血管、氣管等重要組織結構,將誤差控制在毫米級”,陽諾說。

術中,機器人就像有了“智慧眼睛”和“穩定雙手”,整個過程機械臂平穩導航,無需調針,減少了電腦斷層掃描次數和患者的輻射暴露,機器人的應用避免了人為因素可能帶來的穿刺偏差,從而減少對周圍正常組織的損傷,降低了氣胸、出血等並發症的發生率,也縮短了手術時間。

快速精準定位一直是肺結節介入診療的核心環節,目前,電腦斷層掃描引導下經皮肺腫瘤消融治療、經皮肺結節穿刺定位術、經皮肺腫瘤穿刺活檢術等均依賴於高超精準的穿刺技術,傳統穿刺方式高度依賴操作者的手感與臨床經驗,而機器人穿刺導航系統可複刻規劃好的穿刺路徑,徹底改變傳統操作模式。


↑圖說:圖為機器人引導下實際穿刺路徑(供圖)









 

 
  綜合新聞


衛福部臺北醫院春節期間服務公告

十三行博物館全新繪本以台語揭開史前遺址傳奇

善心人士捐百萬獎助學金 勉勵清潔隊員子女勤學逐夢

提升防洪安全守護河岸景觀與櫻花林 汐止康誥坑溪固床工完工 

東南科大休閒事業管理系打造沉浸式學習營「夢想號」 帶領高中職生實境體驗產業魅力

信義草坪頭最美茶鄉櫻花季4,000棵櫻花迎賓
南投縣長許淑華邀您春節來南投賞花、泡湯、看燈會


南投縣政府舉辦「2026特色年菜暨伴手禮推廣會」捐贈50套愛心年菜送給食物銀行

一家同行太極好:家庭成長經驗中的世代陪伴與心態調整

2026高雄冬日遊樂園即將登場 「超人力霸王」首度降臨愛河灣
陳其邁歡迎海內外遊客 體驗港都冬日節慶魅力









 


 
社址:台北市內湖區瑞光路八號六樓之一  總機:(02)87911588(代表號)
太平洋新聞網版權所有 © 2002 pacificnews.com.tw All Rights Reserved.

伺服器架設與程式設計